Герминогенные опухоли у мужчин

Точность позитронно-эмиссионной томографии с 18F-фтордезоксиглюкозой при ранней метастатической семиноме яичка: анализ исследования SEMS

Цель исследования

Недавние клинические исследования первичной забрюшинной лимфаденэктомии (ЗЛЭ) при семиноме яичка выявили недостаточную эффективность традиционных методов визуализации для стадирования лимфатических узлов. Данные о точности позитронно-эмиссионной томографии (ПЭТ) у пациентов с семиномой яичка, ранее не получавших химиотерапию, ограничены. Авторы исследования оценили точность ПЭТ с 18F-фтордезоксиглюкозой (ФДГ) для выявления метастатического поражения в рамках исследования SEMS (хирургическое вмешательство при ранней метастатической семиноме).

Материалы и методы:

Исследование SEMS представляет собой проспективное исследование второй фазы, оценивающее эффективность первичной ЗЛА у больных семиномой яичка с ограниченной забрюшинной лимфаденопатией. ПЭТ-сканирование с 18F-ФДГ проводилось в качестве рентгенологического коррелята в дополнение к стандартной аксиальной визуализации перед операцией. Результаты ПЭТ основывались на локальной интерпретации и сравнивались с результатами хирургической патологии.

Результаты:

Из 55 пациентов, включенных в исследование, 26 (47%) выполнена ПЭТ. У 20/26 (77%) пациентов выявлены очаги в лимфатических узлах в забрюшинном пространстве, тазу или паховой области. У 18 из 20 пациентов, у которых определялись положительные очаги по данным ПЭТ был патоморфологически подтверждено наличие метастазов в лимфатических узлах (положительная прогностическая ценность 90%) на момент первичной ЗЛА. У 6 пациентов по данным ПЭТ не было выявлено никаких подозрительных очагов, из них у 5 по данным патоморфологического исследования не было выявлено метастазов в лимфоузлах (pN0), отрицательная прогностическая ценность составила 83%. Чувствительность ПЭТ с 18F-ФДГ для выявления метастатической семиномы в лимфатических узлах составила 95%, а специфичность - 71%. Средние стандартизированные значения поглощения ПЭТ-положительных лимфатических узлов и патоморфологически положительных лимфатических узлов составили 7,0 (диапазон 2,6-18,8) и 6,8 (диапазон 1,53-18,8) соответственно. При клиническом наблюдении не было обнаружено никаких положительных очагов по данным ПЭТ за пределами забрюшинного пространства или таза, которые могли бы представлять собой метастатическую семиному.
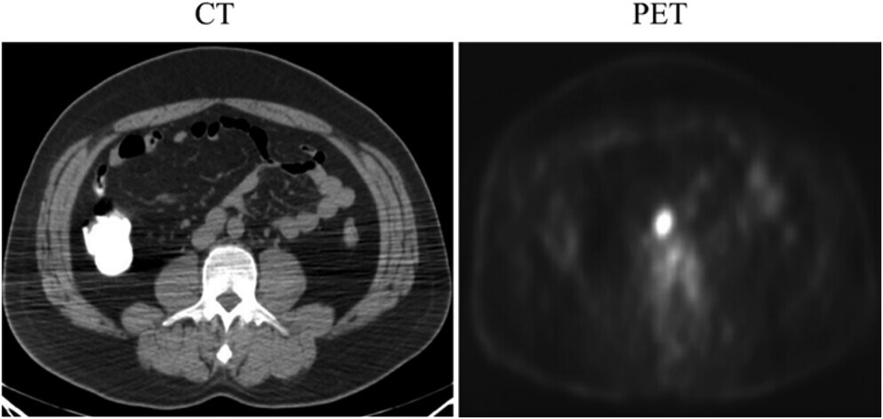
КТ-сканирование, показывающее один увеличенный забрюшинный лимфатический узел у больного семиномой, и соответствующее позитронно-эмиссионное томографическое (ПЭТ) сканирование, показывающее усиление сигнала. Патоморфологическое заключение соответствовало метастатической семиноме.

Выводы:

У больных семиномой яичка результаты ПЭТ с 18F-ФДГ в большинстве случаев коррелировали как с патоморфологически положительными, так и с отрицательными результатами исследования забрюшинных лимфатических узлов. Необходимы дальнейшие исследования, чтобы определить, может ли ПЭТ улучшить и без того высокую прогностическую эффективность традиционных методов визуализации и клинического опыта.